2012年10月16日 我司研制出重仅140克的B超堪称世界最轻
- 2023-03-02
- 3069
- 索诺星医疗科技
2012年10月16日
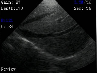
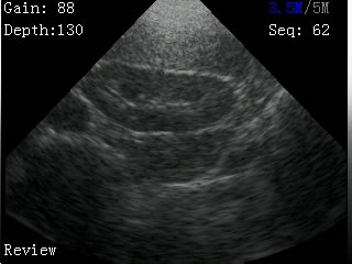
我司最新推出的V2型腕式B超,主机重量仅140克,看成目前全世界最轻的B超。
V2型腕式扇扫B超由主机、探头、外置电池、手握式键盘组成,重量只有140g(不含探头和电池)堪称全世界最轻的B超。
产品特点:
·小巧轻便,携带方便
·手握式键盘,便于单手操作
·功能精简,操作简单
·图像清晰,测孕、测膘准确、快捷
·大容量SD卡存储图像(选配)
·电池可随意更换且由于仪器功耗小单块电池工作时间长
·具有探头变频功能,适应不同检查需求
·具有伪彩显示功能
·屏幕带有遮阳板,便于户外烈日下工作
技术指标:
-扫描方式:机械扇扫
-探头频率:3.5MHz/5MHz双频率可变频探头
-扫描深度:≥180mm,70、110、130、150、192mm五档可调
-屏幕:3.5英寸
-显示模式:B
-图像灰阶:256级
-伪彩:8种
-图像存储:512幅(存于SD卡)
-测量内容:距离
-输入电源:直流5V(由外置电池输入)
-整机功耗:7W(探头运动时) / 2.5W(探头停摆时)
-电池工作时间:超过10小时
-尺寸:92mm*73mm*42mm
-重量:主机140g、探头160克,电池140g



产品配置:
-主机 1台
-3.5MHz/5.0MHz机械扇扫探头 1个
-手握小键盘 1个
-外置电池 1套
-臂袋(用于放电池、临时放探头) 1个
-腰包(用于放仪器、耦合剂等) 1个
-SD存储卡 1张(选配)







臂袋(用于放电池、临时放探头)

腰包(用于放仪器、耦合剂等)
http://cartiercheap.tripod.com/
http://aptguccibags.tripod.com/
http://www.replicabagstop.com



















Home
Product
News
Contact