咸阳市第一人民医院成功开展无线探头式超声实时引导下心包积液穿刺闭式引流术
- 2023-03-03
- 6389
- 索诺星医疗科技
近日,我院呼吸与危重症病院成功为一位79岁高龄高危患者实施了无线探头式超声引导下心包积液穿刺引流术,与以往不同的是,该操作是由临床医生应用最新无线探头式超声技术在病房床边实时引导完成的,开启了我市临床超声精准化诊疗的新篇章。

呼吸内科二病区应用无线探头式超声进行心包穿刺操作
王大爷患“慢性阻塞性肺病” 30余年,2个月前受凉后病情加重,在当地医院治疗效果不佳,听人介绍辗转至咸阳市第一人民医院呼吸内科二病区就诊,来时已是下班时间,值班医生梁杰接诊后,发现患者精神极差,胸闷、气短症状明显,胸部CT检查发现患者心包大量积液。梁医生意识到情况不妙,立即向科室主任亢锴汇报。亢主任赶到科室,现场应用无线探头式超声为患者进行了快速探查,当即明确存在大量心包积液,并确定了较为理想的穿刺部位。在与患者及家属细致沟通后,亢锴主任及梁杰医生在床旁为患者实施了本市首例无线探头式超声实时引导下心包积液穿刺闭式引流术。术中,亢锴主任手持超声、眼盯IPAD屏幕,再次对穿刺部位、穿刺方向、穿刺角度及深度进行了确定,同时指导梁杰医生在超声实时引导下实施穿刺引流术,一根细细的软管将积聚在王大爷心包腔内的液体缓缓引出,王大爷胸闷症状逐渐缓解,紧锁的眉头开始舒展,手术顺利结束!在病房外焦急等待的家属进门后看到王大爷神态自若,与治疗前后判若两人,几乎不敢相信自已的眼睛,再三询问老人感觉如何,当得到老人肯定的回答时,家属们激动地对两位医生竖起了大拇指,连声称赞医生医术高明、设备先进!

无线探头式超声探头及显示屏
据亢锴主任介绍,心包穿刺术与内科四大穿刺—胸腔穿刺、腹腔穿刺、腰椎穿刺和骨髓穿刺相比,风险大、难度高。以往大量心包积液患者要前往超声科定位,在超声定位后医生才能实施心包穿刺引流术,整个过程为静态引导,当遇到穿刺不顺利时,还要反复请超声科医生协助术中再次定位,操作面临很大风险。如今借助无线探头式超声,经过培训的临床医生自己就可进行超声下实时动态引导操作,打消了临床医生定位不准确的顾虑,为成功实施操作提供了可靠的保障。

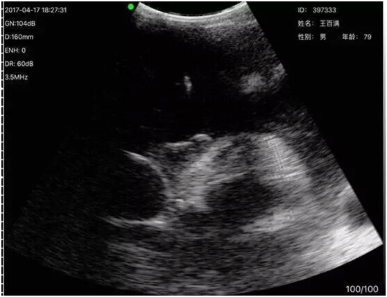
术中超声动态引导图像效果

术后亢锴主任应用无线探头式超声进行查房
据了解,这是我市第一台无线探头式超声,该机器拥有体积小、易携带、准确率高等优点。做为现代超声技术领域的一种高科技产品,它赋予了临床医生一双明亮的眼睛,将原来的不可视变为可视,使得各类穿刺操作的难度大幅度降低、安全性明显提高。因其小巧便携,更适合术中实时超声引导,有效提高了临床医生解决实际问题的能力,促进及推动了临床科室可视化精准医疗的发展,降低了超声科医生的负担,并为远程医疗提供了有力的工具。






















Home
Product
News
Contact